nowość szkolenie stacjonarne

Implantoprotetyka bez konfliktów - od pojedynczej korony do All-on-X | 1. edycja

lek. dent.

Katarzyna Dębińska
OfflineEventAttendanceMode EventScheduled

Data szkolenia

06.11.2026 r. 10:00-19:00
2026-11-06T00:00:00+01:00
07.11.2026 r. 10:00-19:00
08.11.2026 r. 09:00-18:00
2026-11-08T00:00:00+01:00

Miejsce szkolenia

Sound Garden Hotel
ul. Żwirki i Wigury 18
02-092 Warszawa

Ilość wolnych miejsc

7

Ilość godzin szkolenia

24h

Materiały video

0h

Ilość punktów edukacyjnych

24 pkt
Implantoprotetyka bez konfliktów - od pojedynczej korony do All-on-X | 1. edycja
6995 PLN

O szkoleniu

Współpraca interdyscyplinarna jak fundament sukcesu klinicznego 

Ten kurs jest zbudowany wokół jednego zagadnienia - współpracy na linii chirurg-protetyk. Naszym celem jest przedstawienie Ci obu perspektyw oraz nauczenie pracy w trybie "teamwork", w której chirurg i protetyk grają do jednej bramki i współpracują ze sobą od etapu konsultacji, dla osiągnięcia maksymalnego efektu leczenia, a nie działają oddzielnie (jak bardzo często to wygląda) w duchu "wszczepiłem implant, moja praca wykonana - a teraz ty się martw, co z tym zrobić".

Kompleksowy zakres tematów i unikalna perspektywa

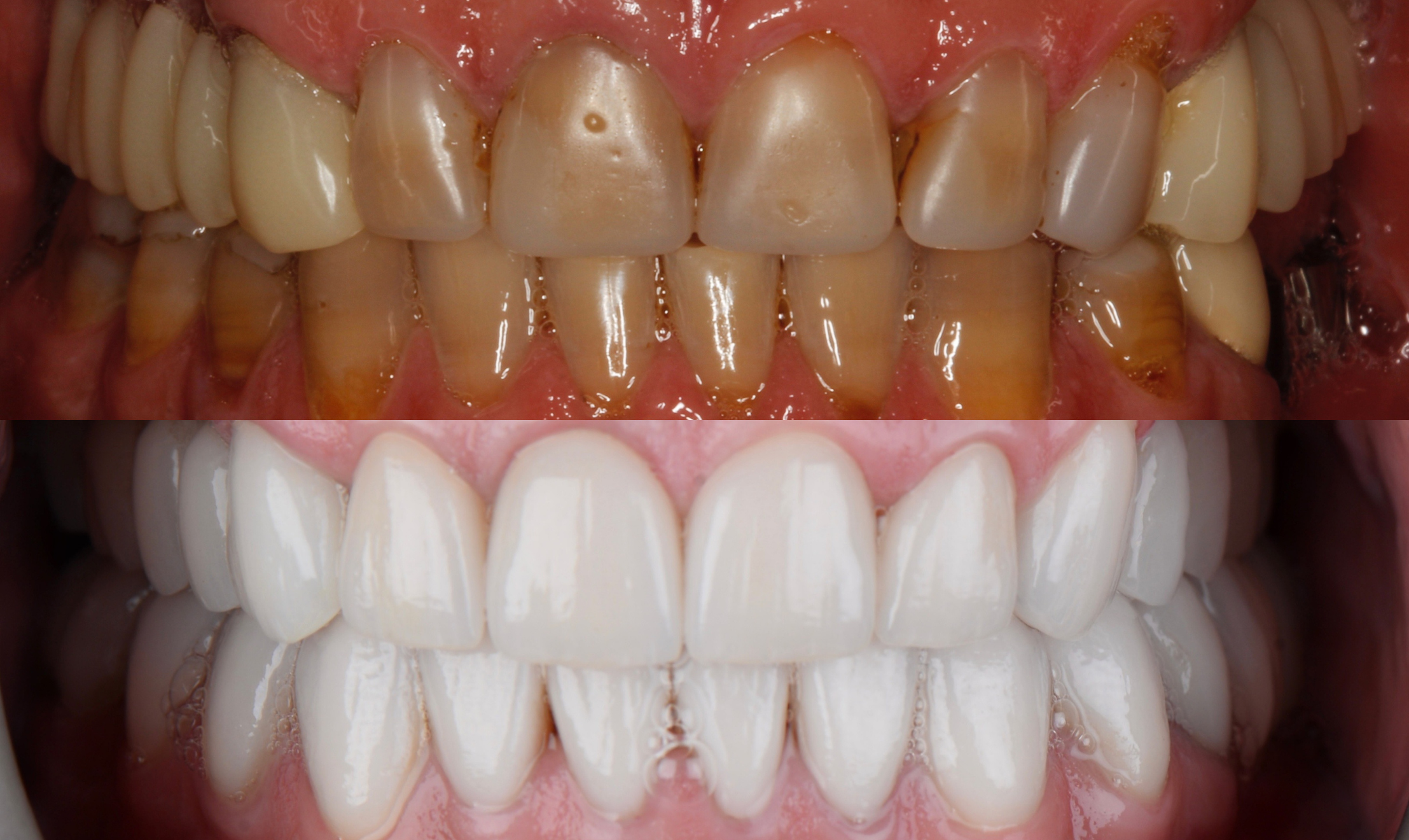
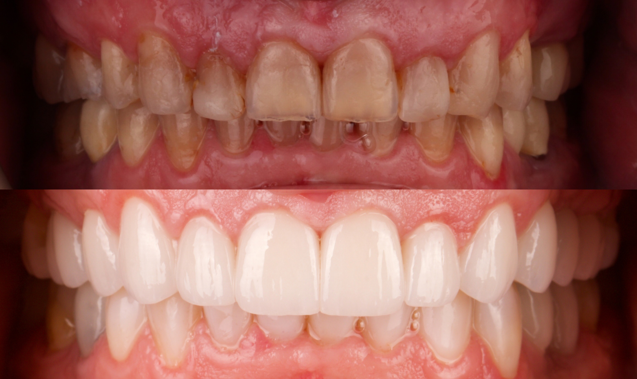
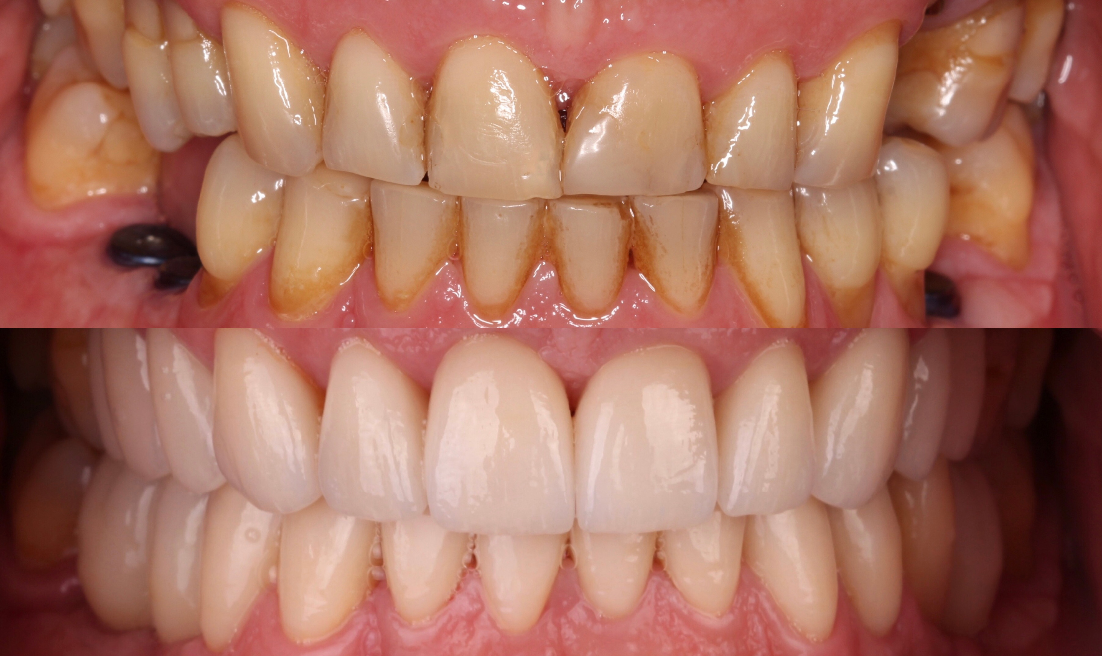
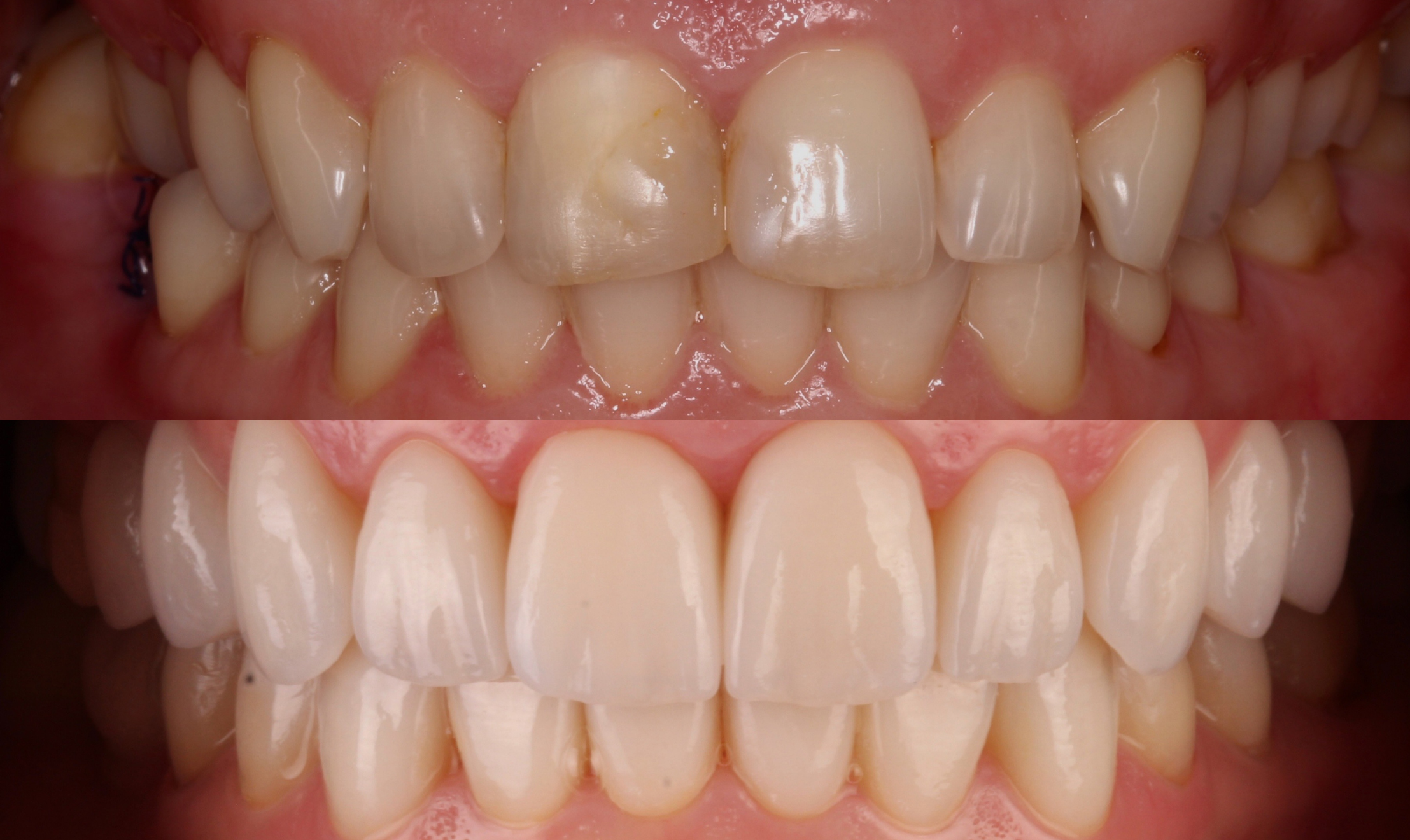
Na szkoleniu będziesz mógł skorzystać z unikalnej wiedzy naszej wykładowczyni lek. dent. Katarzyny Dębińskiej, która posiada wykształcenie oraz doświadczenie kliniczne w obu obszarach - chirurgicznym i protetycznym. Ta wyjątkowa perspektywa pozwala na zrozumienie obu stron tego równania - czego potrzebuje i czego powinien wymagać chirurg od protetyka oraz protetyk od chirurga. Wszczepienie implantu nie jest końcem leczenia, dopiero w pełni funkcjonalna i estetyczna docelowa odbudowa pozwala nam zakwalifikować leczenie jako udane i przeprowadzone z sukcesem.

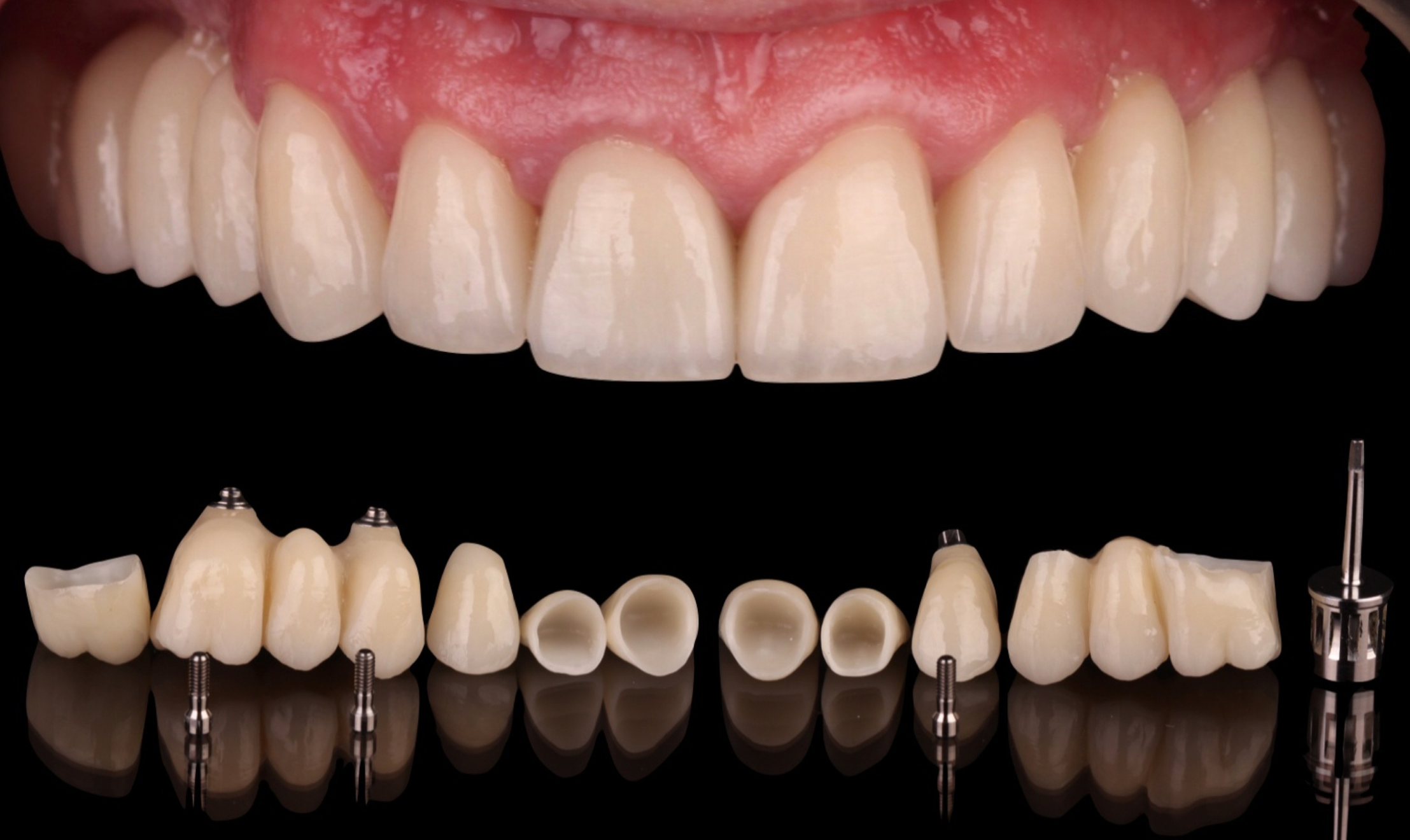
Przez 3 dni przejdziemy wspólnie przez pełne spektrum leczenia implantoprotetycznego - od planowania, fundamentów i zasad odbudowy pojedynczych braków, przez mosty i korony zblokowane, aż po najbardziej zaawansowane rekonstrukcje pełnołukowe typu All-on-X. Nauczysz się planowania wstecznego (backward planning), prawidłowego doboru komponentów (od śrub gojących, po łączniki typu multiunit) i metod przenoszenia pozycji implantu z ust pacjenta do laboratorium. Zwrócimy szczególną uwagę na komunikację z technikiem dentystycznym oraz zaznaczymy, czego wymagać od naszych pracowni protetycznych. Pokażemy Ci, jak rozbrajać "miny" powstające z braku komunikacji: jak radzić sobie z trudnymi kątami wszczepów, kiedy niezbędna jest redukcja kości oraz w jaki sposób prawidłowo ukształtować przęsło mostu, aby pacjent mógł utrzymać idealną higienę.

Algorytmy postępowania i technologie cyfrowe

Szkolenie jest skierowane zarówno do lekarzy dentystów, którzy wchodzą w świat implantoprotetyki i chcą od samego początku robić to dobrze, bezpiecznie i przewidywalnie, jak i do osób, które nie są pewne swoich protokołów prac i obawiają się wykonywać większe, wielopunktowe rekonstrukcje. Niezależnie od tego, czy zajmujesz się głównie chirurgią i chcesz zrozumieć, z czym mierzy się potem protetyk, czy jesteś protetykiem szukającym sposobów na kompensację niektórych niedoskonałości chirurgicznych - ten kurs da Ci gotowe algorytmy postępowania. Wprowadzimy Cię również w świat cyfrowej stomatologii, w tym przełomowej wewnątrzustnej fotogrametrii, która pozwala na szybkie osiągnięcie biernego pasowania (passive fit) i zwiększa przewidywalność zabiegu. Z kursu wyjdziesz przygotowany do prowadzenia nowoczesnego, interdyscyplinarnego leczenia, w którym wszyscy specjaliści współpracują ze sobą na każdym etapie.

Czego nauczę się na szkoleniu?

  • planowania wstecznego (Backward Planning) - wyznaczać pozycję implantu na podstawie docelowej odbudowy protetycznej, unikając konfliktów biomechanicznych i estetycznych

  • kształtowania profilu wyłaniania - jak świadomie dobierać śruby gojące i łączniki już na wczesnym etapie chirurgicznym, aby ułatwić późniejsze pobieranie wycisków lub skanów i uzyskać naturalną "różową estetykę"

  • bezbłędnego przenoszenia pola protetycznego - opanujesz w praktyce techniki wyciskowe z poziomu implantu (łyżka otwarta i zamknięta), w tym krytyczną umiejętność sztywnego blokowania transferów w pracach mnogich, a także skanowania wewnątrzustnego w przypadku koron oraz mostów

  • pracy na łącznikach pośrednich (MUA) - nauczysz się, jak za pomocą łączników Multi-Unit skutecznie kompensować trudne kąty i nierównoległości wprowadzonych implantów

  • projektowania higienicznych i estetycznych przęseł - zrozumiesz w jaki sposób decyzje chirurgiczne warunkują możliwość stworzenia mostu, który pacjent będzie w stanie idealnie doczyścić

  • wdrażania cyfrowego workflow w pełnych łukach - poznasz w praktyce działanie wewnątrzustnej fotogrametrii przy pracach All-on-X, ucząc się, jak dzięki technologii osiągnąć absolutnie precyzyjne pasowanie bierne (passive fit)

Program szkolenia

Dzień 1

współpraca i poj. braki
Część teoretyczna
Planowanie przestrzenne pozycji implantu - ocena warunków estetycznych i funkcjonalnych (prosthetically driven implant placement)
Rodzaje systemów implantologicznych oraz analiza budowy implantów i łączników - co jest istotne dla chirurga, co dla protetyka i jak to połączyć w całość?
Natychmiastowe obciążenie vs odroczone obciążenie
  • kryteria kliniczne decydujące o wyborze - oczekiwania pacjenta vs biologiczne bezpieczeństwo osteointegracji
  • jak wspólna analiza ryzyka (chirugiczno-protetyczna) może zapobiec przedwczesnej utracie implantu
Rodzaje łączników protetycznych i śrub gojących
  • przegląd dostępnych na rynku komponentów - od rozwiązań standardowych po indywidualne
  • wpływ zastosowanych komponentów na biomechanikę i długoterminową stabilność tkanek
Kształtowanie profilu wyłaniania - dlaczego śruba gojąca to pierwszy etap pracy protetycznej, a nie ostatni etap chirurgii
  • wpływ uformowania tkanek miękkich na łatwość pobrania wycisku/skanu oraz wykonania estetycznej odbudowy

 

Część praktyczna
Metody przeniesienia pozycji implantu do laboratorium
  • prace analogowe oraz prace cyfrowe w przypadku pojedynczych braków
  • wycisk z poziomu implantu metodą łyżki otwartej/zamkniętej
  • skany z poziomu implantu
Wykonanie indywidualnej śruby gojącej w przypadku implantacji natychmiastowej

Dzień 2

mosty i korony zespolone
Część teoretyczna
Rodzaje mostów protetycznych i koron zblokowanych - white and pink esthetic, różowa ceramika
  • kiedy anatomia i plan chirurgiczny wymuszają zastosowanie sztucznego dziąsła
  • zastosowanie koron zblokowanych oraz różowej ceramiki do maskowania ubytków tkankowych oraz poprawy efektu estetycznego
Dobór łączników w zależności od pozycji implantów w pracy mnogiej
  • możliwości kompensacji nierównoległości i trudnych kątów wprowadzonych już implantów
Projektowanie przęseł a aspekty higieniczne prac stałych
  • rola chirurga, a rola protetyka w prawidłowym ukształtowaniu profilu przęsła
  • jak stworzyć konstrukcję pozwalającą na utrzymanie pacjentowi idealnej higieny wokół implantów
Materiałoznawstwo w implantoprotetyce - co wybrać w przypadku odbudów pojedynczych oraz prac mnogich?
  • analiza warunków zgryzowych pacjenta oraz rozmieszczenia punktów podparcia
  • dobór właściwego materiału w zależności od obecności innych uzupełnień protetycznych w łuku przeciwstawnym

 

Część praktyczna
Wycisk z poziomu łączników pośrednich
Techniki blokowania transferów wyciskowych
Skanowanie z poziomu MUA

Dzień 3

All-on-X
Część teoretyczna
Rozmieszczenie implantów w polu protetycznym - dlaczego to protetyk powinien być pierwszym lekarzem, do którego trafia pacjent implantologiczny
  • backward planning - dlaczego rozpoczęcie leczenia od wizji ostatecznego uśmiechu zapobiega sytuacjom, w których idealnie zintegrowane implanty okazują się całkowicie bezużyteczne przy odbudowie zębów
Planowanie - estetyka poszczególnych prac, podparcie wargi i konieczność redukcji wyrostka
  • decyzje kliniczne - redukcja kości a przestrzeń na ukrycie linii przejścia oraz odbudowę profilu twarzy pacjenta
Dzielić czy blokować? A może jednak praca wyjmowana? - ilość implantów, a rodzaj odbudowy protetycznej
  • jak ostateczna ilość wszczepów, ich rozmieszczenie oraz uzyskana stabilizacja determinuje możliwości odbudowy protetycznej
  • elastyczna i otwarta komunikacja na linii chirurg-protetyk w obliczu nieprzewidzianych warunków klinicznych - podstawa uniknięcia bolesnych porażek
Praca tymczasowa, a praca ostateczna
  • uzupełnienia tymczasowe - etap na którym protetyk weryfikuje okluzję i estetykę, a chirurg ocenia bezpieczeństwo obciążenia i gojenie tkanek miękkich
  • błędy chirurgiczne i protetyczne - jak je skorygować żeby zapewnić sobie bezstresową finalizację leczenia pracą docelową
  • problemy z pracami tymczasowymi i jak sobie z nimi radzić
Wewnątrzustna fotogrametria - przełom technologiczny w wykonaniu prac pełnołukowych
Część praktyczna
Wykorzystanie fotogrametrii w pracach All-on-X
Prezentacja i omówienie kaset oraz skanowanie przestrzennej pozycji implantów na modelach

O wykładowcach

lek. dent.

Katarzyna Dębińska

Absolwentka Uniwersytetu Medycznego w Lublinie. Specjalistka protetyki stomatologicznej. W 2024r ukończyła z wyróżnieniem studia podyplomowe European Master Degree in Oral Implantology. Swoje doświadczenie zdobywała zarówno w Polsce, jak i w renomowanych ośrodkach zagranicznych (mi.in. Brazylia, USA, Korea Południowa, Niemcy, Węgry), uczestnicząc w prestiżowych szkoleniach z zakresu implantologii i protetyki. 

Specjalizuje się w kompleksowych metamorfozach uśmiechu oraz zaawansowanych rekonstrukcjach zgryzu, łącząc najnowsze osiągnięcia medycyny z wyjątkowym poczuciem estetyki. Na co dzień pracuje w warszawskich Klinikach Stomatologicznych, tworząc i uczestnicząc w realizacji złożonych planów leczenia, dbając przy tym o najwyższy komfort i bezpieczeństwo Pacjentów.

Dlaczego my?

Więcej praktyki, mniej teorii

Na naszych szkoleniach otrzymasz tylko praktyczne informacje, które pozwolą Ci przejść najkrótszą drogą z punktu, w którym jesteś do punktu, w którym chcesz być.

Doświadczenie

Na swoim koncie mamy: ponad 883 zrealizowanych szkoleń, ponad 11 180 przeszkolonych osób i te liczby wciąż rosną.

Platforma e-learningowa

Nasza znajomość nie kończy się na szkoleniu. Dzięki naszej platformie e-learningowej możesz wrócić do materiałów online, ugruntować swoją wiedzę i zadać dodatkowe pytania wykładowcy. 

Zero sprzedaży

Nie prowadzimy sprzedaży sprzętu czy materiałów - wiedza, którą dostaniesz, jest w 100% obiektywna i uniwersalna.

Jak uzyskać dofinansowanie?

Czy warto starać się o dofinansowanie na nasze szkolenia? Naszym zdaniem zdecydowanie tak! Przeczytaj nasz poradnik lub skontaktuj się z Tomkiem, który odpowie na Twoje pytania.
Dowiedz się więcej

Skontaktuj się z nami

Specjalista ds. szkoleń

Aneta Stachowicz

Specjalista ds. szkoleń

Tomasz Bręczewski

Zostałeś zapisany do newslettera. Dziękujemy!
Wiadomość została wysłana! Dziękujemy!
Ups, wystąpił błąd. Spróbuj ponownie.
Dane adresowe są niekompletne. Uzupełnij dane żeby przejść dalej.