nowość szkolenie hybrydowe

Mleczaki bez tajemnic - przewidywalne i jakościowe leczenie dzieci - schematy i procedury | 3. edycja

lek. dent.

Swietłana Kozaczuk
MixedEventAttendanceMode EventScheduled

Data szkolenia

18.07.2026 r. 10:00-19:00
2026-07-18T00:00:00+02:00

Miejsce szkolenia

Sound Garden Hotel
ul. Żwirki i Wigury 18
02-092 Warszawa

Ilość godzin szkolenia

8h

Materiały video

1h

Ilość punktów edukacyjnych

8 pkt
Mleczaki bez tajemnic - przewidywalne i jakościowe leczenie dzieci - schematy i procedury | 3. edycja
2750 PLN

O szkoleniu

Dla kogo jest to szkolenie?

Szkolenie „Mleczaki bez tajemnic” to praktyczny przewodnik po codziennych wyzwaniach, z którymi mierzy się każdy pedodonta. Powstało przede wszystkim z myślą o lekarzach rozpoczynających swoją przygodę z leczeniem dzieci oraz tych, którzy chcą uporządkować i uzupełnić dotychczas zdobytą wiedzę.

Podczas kursu przekażemy Ci jasne, oparte na EBD wytyczne dotyczące postępowania w najczęstszych sytuacjach klinicznych spotykanych w gabinecie stomatologii dziecięcej. Zaczniemy od diagnostyki i planowania leczenia, które pozwolą właściwie określić problem pacjenta i zaplanować cały proces terapeutyczny. Następnie przejdziemy przez szczegółowe algorytmy postępowania w najpowszechniejszych schorzeniach - zapaleniach miazgi, ekstrakcjach, odbudowie ubytków, pracy z koronami stalowymi. Omawiamy je na podstawie realnych przypadków klinicznych, co ułatwia zrozumienie procedur i przeniesienie ich do własnej praktyki.

W części praktycznej poznasz szybkie techniki izolacji koferdamem oraz sprawne metody odbudowy ubytków klasy II u dzieci. Nauczysz się także pracy z koronami stalowymi, które stają się standardem w nowoczesnej pedodoncji - od prawidłowej preparacji zęba, po jej ostateczne zacementowanie.

To szkolenie zapewni Ci solidny fundament do samodzielnej i świadomej pracy z małymi pacjentami. Wyjdziesz z niego z gotowymi schematami postępowania, możliwymi do wdrożenia w gabinecie już od pierwszego dnia, co pozwoli Ci pracować szybciej, pewniej i bardziej przewidywalnie, dając swoim małym pacjentom jeszcze większą wartość.

Czego nauczę się na szkoleniu?

  • konkretnych wytycznych jak postępować w najczęstszych wyzwaniach stomatologii dziecięcej - leczeniu zachowawczym, endodontycznym oraz chirurgicznym

  • jak poprawnie zdiagnozować pacjenta - tak aby nie przegapić żadnych kluczowych informacji

  • jak stosować skuteczne techniki izolacji i odbudowy ubytków klasy II w zębach mlecznych

  • jak pracować z koronami stalowymi (technika SSC Hall) - od preparacji po cementowanie

  • jakie są zasady kwalifikacji do sedacji i leczenia w znieczuleniu ogólnym

  • jak podejmować samodzielne decyzje w sytuacjach granicznych oraz jak radzić sobie podczas trudnych wizyt

Dlaczego szkolenie hybrydowe?

Szkolenie hybrydowe łączy kurs stacjonarny z e-learningiem. Teorię poznajesz przed kursem w formie nagrań wideo, dzięki czemu na szkoleniu stacjonarnym poświęcisz aż 75% czasu na ćwiczenia praktyczne!

Materiały wideo udostępnimy Ci 14 dni przed kursem, a dostęp do nich zachowasz przez 180 dni, dzięki czemu możesz wracać do treści także po zakończeniu szkolenia. Pozwala to na rozłożenie procesu uczenia w czasie i uniknięcie przeciążenia materiałem w ciągu jednego dnia. Przychodzisz na kurs lepiej przygotowana/y, już z konkretnymi pytaniami.

Program szkolenia

Część teoretyczna

4 h
Tematy, które omówimy na żywo w trakcie szkolenia stacjonarnego.
Pierwsza wizyta (planowa i bólowa)
  • schemat postępowania podczas pierwszej wizyty - planowej i nagłej
  • komunikacja z dzieckiem i rodzicem - budowanie zaufania i współpracy
  • algorytmy wizyt bólowych: pulpotomia, pulpektomia, ekstrakcja
  • kryteria kwalifikacji: które dzieci leczyć, które kierować dalej
Diagnostyka radiologiczna w pedodoncji
  • technika wykonywania zdjęć RTG u dzieci - zasady i unikanie błędów
  • różnicowanie obrazu patologii i artefaktów diagnostycznych
  • ocena resorpcji, zębów w fazie wymiany i zmian okołowierzchołkowych
  • radiologiczne kryteria decyzji: leczyć, usuwać czy obserwować
Planowanie leczenia i izolacja pola zabiegowego
  • planowanie leczenia w oparciu o wiek, współpracę i przewidywalność efektu
  • koferdam w pedodoncji - zasady stosowania, dobór klamer, alternatywy do izolacji
  • tipy kliniczne: skuteczna izolacja przy ograniczonej współpracy
Leczenie zapalenia miazgi w 15 minut
  • szybkie, przewidywalne procedury: pulpotomia i pulpektomia
  • analiza przypadków i zdjęć RVG: wskazania, przebieg, efekty leczenia
  • schemat krok po kroku - plan działania w 3-5 etapach
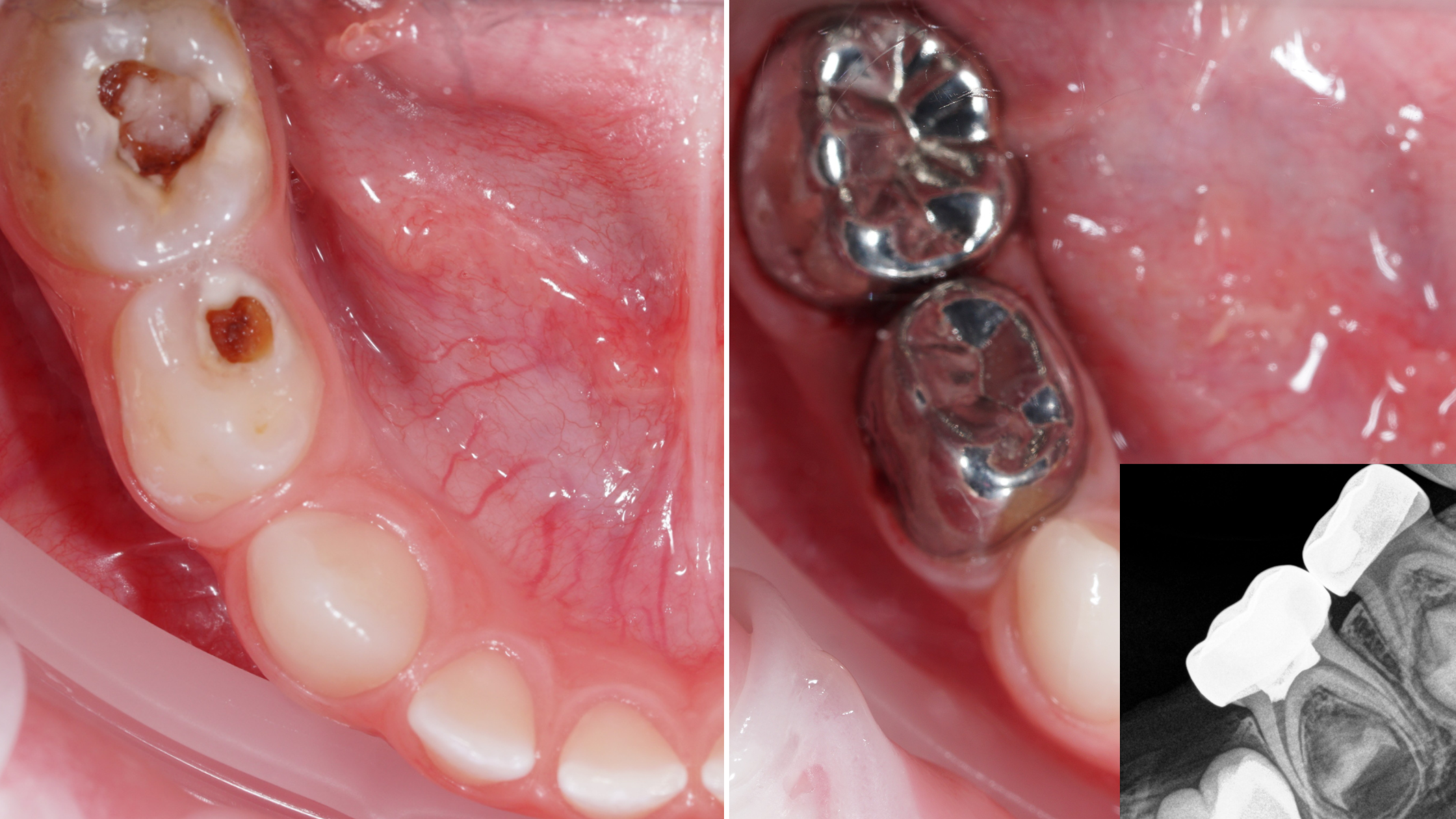
Korony stalowe (SSC) - wprowadzenie: podstawowa wiedza i umiejętności kliniczne
  • wskazania do zastosowania koron stalowych w zębach mlecznych
  • dobór rozmiaru i technika dopasowania
  • etapy preparacji i cementowania - bezpieczny i przewidywalny protokół
  • typowe błędy i ich korekta
  • SSC jako metoda przywracania funkcji i trwałości zęba mlecznego
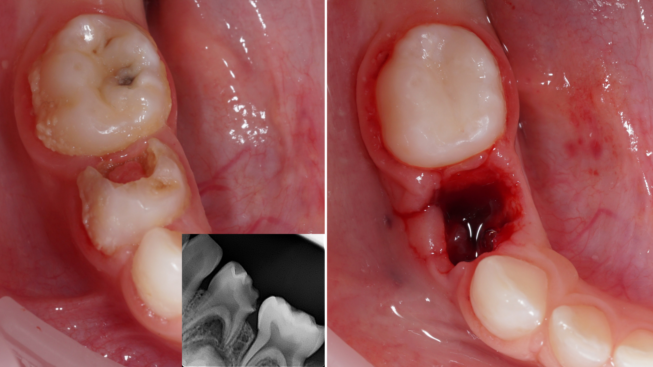
Ekstrakcje zębów mlecznych
  • wskazania do ekstrakcji - decyzje graniczne: ratować czy usuwać
  • technika znieczulenia miejscowego u dziecka - aspekty anatomiczne i praktyczne
  • dobór instrumentarium i atraumatyczne techniki ekstrakcji
  • najczęstsze powikłania i sposoby ich unikania
Sedacja i leczenie w narkozie
  • algorytm decyzyjny: kiedy sedacja, a kiedy znieczulenie ogólne
  • wskazania, przeciwwskazania i kwalifikacja pacjenta
  • jak unikać serii nieefektywnych wizyt - planowanie i komunikacja

Część praktyczna

4 h
Wszystkie omawiane procedury zobaczysz najpierw na żywo podczas pokazu prowadzącego. Następnie wykonasz je samodzielnie, otrzymując na każdym etapie cenne wskazówki od wykładowcy.
Quiz radiologiczny
  • planowanie leczenia krok po kroku na podstawie zdjęć radiologicznych
Izolacja i odbudowa klasy II
  • zakładanie koferdamu na zęby mleczne i pierwsze trzonowce
  • preparacja ubytku klasy II - specyfika zębów mlecznych
  • praca z matrycami, kontrola punktów stycznych, uzyskanie szczelności brzeżnej
  • wykończenie i ocena jakości wypełnienia
Szlifowanie zębów mlecznych pod korony
  • założenie korony stalowej - technika Hall
  • szlifowanie 2-3 zębów mlecznych pod korony stalowe
  • dobór rozmiaru korony, przymiarka
  • cementowanie koron stalowych
Case discussion: wizyty trudne i decyzje graniczne
  • analiza przypadków klinicznych: dziecko z bólem, ropień, brak współpracy
  • ocena RTG i plan leczenia krok po kroku
  • podejmowanie decyzji w sytuacjach niejednoznacznych
  • dyskusja błędów i wniosków z codziennej praktyki

Materiały online do szkolenia

1 h

W materiałach wideo znajdziesz następujące wykłady i pokazy praktyczne. Dostęp do materiałów masz przez 180 dni od momentu ich udostępnienia. Możesz z nich korzystać na dowolnym urządzeniu o dowolnej porze i dowolną ilość razy.

Wizyta planowa
1 h

O wykładowcach

lek. dent.

Swietłana Kozaczuk

Absolwentka Warszawskiego Uniwersytetu Medycznego, z wieloletnim doświadczeniem w pracy z dziećmi. Członek zarządu Polskiego Towarzystwa Stomatologii Laserowej, członek Polskiej Akademii Stomatologii Dziecięcej. Kierownik medyczny Centrum Stomatologii Dziecięcej Hi5 Dental w Krakowie – nowoczesnej kliniki tworzonej przez interdyscyplinarny zespół specjalistów, którego celem jest zapewnienie małym pacjentom możliwie najbardziej komfortowego, jakościowego i bezpiecznego leczenia według współczesnych standardów. Autorka publikacji naukowych z zakresu stomatologii dziecięcej i laserowej, prowadząca szkolenia dla lekarzy dentystów i higienistek stomatologicznych. Prywatnie – miłośniczka gry na fortepianie i mama młodych hokeistów.

Dlaczego my?

Więcej praktyki, mniej teorii

Na naszych szkoleniach otrzymasz tylko praktyczne informacje, które pozwolą Ci przejść najkrótszą drogą z punktu, w którym jesteś do punktu, w którym chcesz być.

Doświadczenie

Na swoim koncie mamy: ponad 883 zrealizowanych szkoleń, ponad 11 180 przeszkolonych osób i te liczby wciąż rosną.

Platforma e-learningowa

Nasza znajomość nie kończy się na szkoleniu. Dzięki naszej platformie e-learningowej możesz wrócić do materiałów online, ugruntować swoją wiedzę i zadać dodatkowe pytania wykładowcy. 

Zero sprzedaży

Nie prowadzimy sprzedaży sprzętu czy materiałów - wiedza, którą dostaniesz, jest w 100% obiektywna i uniwersalna.

Jak uzyskać dofinansowanie?

Czy warto starać się o dofinansowanie na nasze szkolenia? Naszym zdaniem zdecydowanie tak! Przeczytaj nasz poradnik lub skontaktuj się z Tomkiem, który odpowie na Twoje pytania.
Dowiedz się więcej

Inne terminy tego szkolenia

szkolenie hybrydowe nowość

Mleczaki bez tajemnic - przewidywalne i jakościowe leczenie dzieci - schematy i procedury | 2. edycja

lek. dent.

Swietłana Kozaczuk

23.05.2026 r.

Kraków

2750 zł

20 wolnych miejsc

Szczegóły
szkolenie hybrydowe nowość

Mleczaki bez tajemnic - przewidywalne i jakościowe leczenie dzieci - schematy i procedury | 5. edycja

lek. dent.

Swietłana Kozaczuk

24.05.2026 r.

Kraków

2750 zł

20 wolnych miejsc

Szczegóły
szkolenie hybrydowe nowość

Mleczaki bez tajemnic - przewidywalne i jakościowe leczenie dzieci - schematy i procedury | 6. edycja

lek. dent.

Swietłana Kozaczuk

17.07.2026 r.

Warszawa

2750 zł

Lista rezerwowa

Szczegóły
szkolenie hybrydowe

Mleczaki bez tajemnic - przewidywalne i jakościowe leczenie dzieci - schematy i procedury | 8. edycja

lek. dent.

Swietłana Kozaczuk

03.10.2026 r.

Kraków

2750 zł

19 wolnych miejsc

Szczegóły
szkolenie hybrydowe

Mleczaki bez tajemnic - przewidywalne i jakościowe leczenie dzieci - schematy i procedury | 10. edycja

lek. dent.

Swietłana Kozaczuk

14.11.2026 r.

Wrocław

2750 zł

20 wolnych miejsc

Szczegóły
szkolenie hybrydowe

Mleczaki bez tajemnic - przewidywalne i jakościowe leczenie dzieci - schematy i procedury | 12. edycja

lek. dent.

Swietłana Kozaczuk

19.12.2026 r.

Warszawa

2750 zł

19 wolnych miejsc

Szczegóły

Szkolenia o podobnej tematyce

Miazga bez tajemnic | kurs dla dentystów - Dental Day
szkolenie stacjonarne

Miazga bez tajemnic - skuteczne i przewidywalne zabiegi endodontyczne oparte na EBD i aktualnych wytycznych

dr n. med. Michał Sobczak - wykładowca Dental Day
dr n. med.

Michał Sobczak

Szczegóły
szkolenie stacjonarne

Urazy zębów - Masterclass z dr n. med. Michałem Sobczakiem

dr n. med. Michał Sobczak - wykładowca Dental Day
dr n. med.

Michał Sobczak

Szczegóły
MIH | kurs dla dentystów - Dental Day
szkolenie stacjonarne

MIH - jak skutecznie leczyć zęby objęte hipomineralizacją

dr n. med. Anna Babczyńska-Staszewska - wykładowca Dental Day lek. dent. Marta Łabuś-Pilaszek - wykładowca Dental Day
dr n. med.

Anna Babczyńska-Staszewska

lek. dent.

Marta Łabuś-Pilaszek

Szczegóły

Skontaktuj się z nami

Specjalista ds. szkoleń

Aneta Stachowicz

Specjalista ds. szkoleń

Tomasz Bręczewski

Zostałeś zapisany do newslettera. Dziękujemy!
Wiadomość została wysłana! Dziękujemy!
Ups, wystąpił błąd. Spróbuj ponownie.
Dane adresowe są niekompletne. Uzupełnij dane żeby przejść dalej.