nowość webinar

II klasa bez błędów - techniki podstawowe

lek. dent. Jakub Mikołajczyk - wykładowca Dental Day

lek. dent.

Jakub Mikołajczyk
OnlineEventAttendanceMode EventScheduled 2025-12-05T16:05:47+01:00 2026-06-03T16:05:47+02:00

Materiały video

2h

Czas dostępu do materiałów

180 dni

Ilość punktów edukacyjnych

2 pkt
II klasa bez błędów - techniki podstawowe
495 PLN

O szkoleniu

Dla kogo jest to szkolenie?

Szkolenie jest nagraniem webinaru, który odbył się na żywo. 

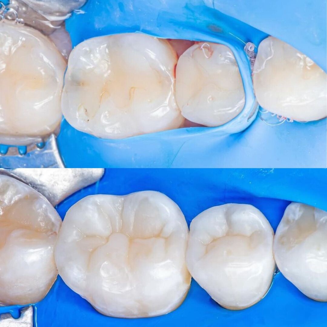
Odbudowa ubytków klasy II stanowi duże wyzwanie dla większości lekarzy zajmujących się stomatologią zachowawczą. Problemy ze szczelnością wypełnienia, prawidłowym profilem wyłaniania, ciasną przestrzenią styczną, prawidłową izolacją pola zabiegowego czy trudnymi ubytkami z głęboką próchnicą to codzienność przy tego typu odbudowach.

Podczas webinaru z cyklu „Klasa II bez błędów - techniki podstawowe” lek. dent. Jakub Mikołajczyk wyjaśni, jak skutecznie radzić sobie z najczęstszymi problemami w odbudowie klasy II. Uczestnicy poznają kluczowe zasady - od prawidłowego opracowania ubytku, przez izolację pola zabiegowego, dobór matryc i pierścieni, aż po technikę odbudowy ściany stycznej, która zapewni szczelność i eliminuje nawisy. W programie znajdą się także dwa pokazy praktyczne: krok po kroku omówienie izolacji koferdamem oraz anatomiczna odbudowa ściany stycznej.

To webinar zarówno dla lekarzy początkujących, które chcą poznać solidne podstawy, jak i dla lekarzy z doświadczeniem, pragnących odkryć praktyczne wskazówki i triki prowadzącego, dzięki którym ich praca stanie się szybsza i bardziej przewidywalna.

Czego nauczę się na szkoleniu?

  • jak opracowywać ubytki klasy II zgodnie z zasadami nowoczesnej preparacji

  • jak skutecznie izolować pole zabiegowe

  • jak dobierać odpowiednie narzędzia oraz akcesoria

  • jak wykonać odbudowę ściany stycznej techniką snowplow i 2 do 1

  • usłyszysz odpowiedzi na nurtujące Cię pytania podczas sesji Q&A

Kurs online krok po kroku

Krok 1:
Zakup szkolenia

Zarejestruj się lub zaloguj na swoje konto, zapisz się na szkolenie i opłać je.

Krok 2:
Uzyskanie dostępu do materiałów

Po opłaceniu na koncie użytkownika w zakładce "Moje szkolenia" znajdziesz przekierowanie do materiałów online, które znajdują się na platformie e-learningowej. Masz do nich dostęp przez 180 dni.

Krok 3:
Zapoznanie się z materiałami online i pytania

Po obejrzeniu wykładów możesz na platformie zadać pytania trenerom, które pojawiły Ci się odsłuchaniu materiałów.

Program szkolenia

Program webinaru

2 h 14 min
Wykład
1 h 21 min
  • diagnostyka próchnicy
  • zasady preparacji ubytku
  • odpowiednia izolacja pola zabiegowego
  • wybór odpowiednich narzędzi do pracy z podziałem na ich zastosowanie i specyficzne przypadki: matryce, pierścienie, narzędzia, kliny indywidualne
Pokazy praktyczne
34 min
  • izolacja pola zabiegowego koferdamem
  • odbudowa ściany stycznej w II klasie:
    • snowplow technique
    • odbudowa 2 do 1
Sesja pytań i odpowiedzi
19 min

Materiały online

2 h 14 min
Wykład
1 h 21 min
Pokazy praktyczne
34 min
Sesja pytań i odpowiedzi
19 min

O wykładowcach

lek. dent. Jakub Mikołajczyk - wykładowca Dental Day

lek. dent.

Jakub Mikołajczyk

Absolwent Śląskiego Uniwersytetu Medycznego w Katowicach. Współwłaściciel gabinetu Dental Clinic w Gliwicach specjalizującego się w stomatologii estetycznej. Wykładowca z wieloletnim doświadczeniem zarówno w Polsce, jak i za granicą. Od lat rozwija swoją autorską metodę wiernego odwzorowania anatomii i kształtu zębów. Członek międzynarodowej grupy dyskusyjnej Biomimetic Study Club. Swoją codzienną pracę publikuje na forach i grupach zawodowych.

Dlaczego my?

Więcej praktyki, mniej teorii

Na naszych szkoleniach otrzymasz tylko praktyczne informacje, które pozwolą Ci przejść najkrótszą drogą z punktu, w którym jesteś do punktu, w którym chcesz być.

Doświadczenie

Na swoim koncie mamy: ponad 883 zrealizowanych szkoleń, ponad 11 180 przeszkolonych osób i te liczby wciąż rosną.

Platforma e-learningowa

Nasza znajomość nie kończy się na szkoleniu. Dzięki naszej platformie e-learningowej możesz wrócić do materiałów online, ugruntować swoją wiedzę i zadać dodatkowe pytania wykładowcy. 

Zero sprzedaży

Nie prowadzimy sprzedaży sprzętu czy materiałów - wiedza, którą dostaniesz, jest w 100% obiektywna i uniwersalna.

Szkolenia o podobnej tematyce

webinar

Modelowanie odcinka bocznego - zęby trzonowe

lek. dent. Jakub Mikołajczyk - wykładowca Dental Day
lek. dent.

Jakub Mikołajczyk

Szczegóły
Mistrzowskie odbudowy zębów bocznych | kurs dla dentystów
szkolenie hybrydowe

Mistrzowskie odbudowy zębów bocznych - modelowanie, klasa II, nakłady bezpośrednie, uzupełnienia pośrednie

lek. dent. Jakub Mikołajczyk - wykładowca Dental Day lek. dent. Bartłomiej Załęski - wykładowca Dental Day
lek. dent.

Jakub Mikołajczyk

lek. dent.

Bartłomiej Załęski

Szczegóły
II klasa wg Blacka | kurs dla dentystów - Dental Day
szkolenie hybrydowe

II klasa według Blacka - Just do it | Akademia Kompozytu

lek. dent. Jakub Mikołajczyk - wykładowca Dental Day
lek. dent.

Jakub Mikołajczyk

Szczegóły
Stomatologia zachowawcza - odcinek boczny | kurs dla dentystów
szkolenie stacjonarne

Codzienna stomatologia zachowawcza - odcinek boczny

lek. dent. Marcin Krupiński - wykładowca Dental Day
lek. dent.

Marcin Krupiński

Szczegóły
II klasa wg Blacka | kurs dla dentystów - Dental Day
szkolenie hybrydowe

Funkcja i estetyka - bezpośrednie rekonstrukcje w odcinku bocznym | Akademia Kompozytu

lek. dent. Karol Babiński - wykładowca Dental Day
lek. dent.

Karol Babiński

Szczegóły

Inne szkolenia online

webinar nowość

Be the Master of First Visit

lek. dent. Tomasz Wrona - wykładowca Dental Day
lek. dent.

Tomasz Wrona

3 h

495 zł

ukończyły 117 osoby

Szczegóły
webinar

Cementowanie

lek. dent. Marcin Krupiński - wykładowca Dental Day lek. dent. Karol Babiński - wykładowca Dental Day dr n. med. Teresa Szupiany-Janeczek - wykładowca Dental Day

+1

lek. dent.

Marcin Krupiński

lek. dent.

Karol Babiński

dr n. med.

Teresa Szupiany-Janeczek

lek. dent.

Grzegorz Witkowski

795 zł

ukończyły 127 osoby

Szczegóły
webinar

Endocmentarzyk

lek. dent. Bartłomiej Karaś - Dental Day lek. dent. Karol Babiński - wykładowca Dental Day lek. dent. Piotr Puchała - Dental Day
lek. dent.

Bartłomiej Karaś

lek. dent.

Karol Babiński

lek. dent.

Piotr Puchała

595 zł

ukończyły 570 osoby

Szczegóły
Jak postępować w przypadku wybranych problemów stomatologii dziecięcej
webinar nowość

Jak postępować w przypadku wybranych problemów stomatologii dziecięcej

dr n. med. Agnieszka Wal-Adamczak - wykładowca Dental Day
dr n. med.

Agnieszka Wal-Adamczak

2 h

495 zł

ukończyły 140 osoby

Szczegóły
Odbudowy kompozytowe w odcinku przednim
webinar nowość

Kompozyt w odcinku przednim - inżynieria czy sztuka?

lek. dent. Bartłomiej Załęski - wykładowca Dental Day
lek. dent.

Bartłomiej Załęski

4 h

695 zł

ukończyły 78 osoby

Szczegóły
Modelowanie odcinka bocznego - zęby przedtrzonowe | webinar
webinar nowość

Modelowanie odcinka bocznego - zęby przedtrzonowe

lek. dent. Jakub Mikołajczyk - wykładowca Dental Day
lek. dent.

Jakub Mikołajczyk

3 h

495 zł

ukończyły 181 osoby

Szczegóły
Mistrzowskie modelowanie odcinka bocznego - zęby trzonowe
webinar nowość

Modelowanie odcinka bocznego - zęby trzonowe

lek. dent. Jakub Mikołajczyk - wykładowca Dental Day
lek. dent.

Jakub Mikołajczyk

3 h

495 zł

ukończyły 225 osoby

Szczegóły
webinar

Okluzja statyczna i dynamiczna

dr n. med. Piotr Okoński - wykładowca Dental Day
dr n. med.

Piotr Okoński

1287 zł

ukończyły 102 osoby

Szczegóły
webinar nowość

Połączenia ustno-zatokowe - jak z tego wybrnąć?

lek. dent.

Mariusz Bołzan

2 h

495 zł

ukończyły 136 osoby

Szczegóły
webinar nowość

Połączenia ustno-zatokowe - jak z tego wybrnąć? | WEBINAR ARCHIWALNY

lek. dent.

Mariusz Bołzan

2 h

350 zł

Nikt nie ukończył

Szczegóły
webinar nowość

Regeneracja miazgi w zębach stałych niedojrzałych - doświadczenie kliniczne i aktualny stan wiedzy

dr n. med. Michał Sobczak - wykładowca Dental Day
dr n. med.

Michał Sobczak

2 h

495 zł

ukończyły 84 osoby

Szczegóły
webinar

Wszystko o licówkach

lek. dent. Marcin Krupiński - wykładowca Dental Day dr n. med. Piotr Okoński - wykładowca Dental Day
lek. dent.

Marcin Krupiński

dr n. med.

Piotr Okoński

lek. dent.

Karolina Kowalczyk-Obroniecka

595 zł

ukończyły 491 osoby

Szczegóły

Skontaktuj się z nami

Specjalista ds. szkoleń

Aneta Stachowicz

Specjalista ds. szkoleń

Tomasz Bręczewski

Zostałeś zapisany do newslettera. Dziękujemy!
Wiadomość została wysłana! Dziękujemy!
Ups, wystąpił błąd. Spróbuj ponownie.
Dane adresowe są niekompletne. Uzupełnij dane żeby przejść dalej.